Before & After Images

Afforable Dentistry
Our most recent patient came to us with extremely rotted teeth and very little money. Dr. Alan Rosen was able to repair his teeth and recreate a beautiful smile for an affordable price. Xpert Dental makes dentistry affordable for everyone. Call us today for a free consultation

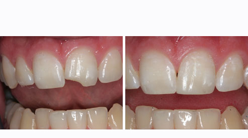
Dental Bonding
Bonding is a procedure in which a tooth-colored resin is applied and hardened with a special light, ultimately "bonding" the material to the tooth to improve a person's smile. Among the easiest and least expensive of cosmetic dental procedures, bonding can repair chipped or cracked teeth, close gaps, change the shape of teeth, or be used as a cosmetic alternative to silver amalgam fillings.

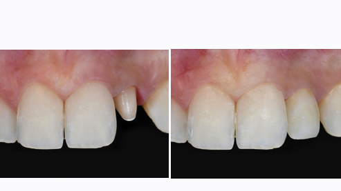
Veneers
Veneers are wafer-thin, custom-made shells that cover the front surface of teeth. Bonded to the front of the teeth, changing their color, shape, size or length, veneers can be made from porcelain or resin composite. Veneers offer a conservative approach to changing a tooth's color or shape compared to crowns, but the process is not reversible.

Crowns
A crown is a tooth-shaped "cap" that's placed over a weak or damaged tooth to improve its shape, size, strength, or appearance. Most crowns last five to 15 years and can be made of metal, porcelain fused to metal, resin, or ceramic. Before a crown is seated, the existing tooth is filed down; then the crown is cemented over it, fully encasing the tooth. Onlays and three-quarter crowns cover the underlying tooth to a lesser extent.

Enamel Shaping
Enamel shaping or contouring is a quick and painless process of shaping natural teeth to improve their appearance. It is generally used to correct small imperfections such as uneven teeth or teeth that are slightly overcrowded. Results can be seen immediately. Enamel shaping is often combined with whitening, veneers, or bonding.

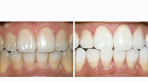
Teeth Whitening
Who doesn't like a bright smile? An assortment of teeth-whitening systems is available, including toothpastes and rinses, over-the- counter gels, strips and trays, and whitening agents obtained from a dentist. But whitening isn't for everyone. It's ideal for people who have healthy, unrestored teeth and gums. Individuals with yellow tones to their teeth -- as opposed to gray tones -- respond best. Talk to your dentist to find out if whitening is right for you.

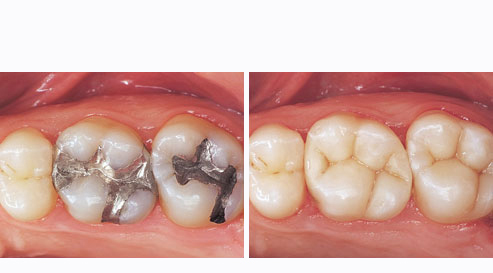
Composite Fillings
Existing fillings sometimes need to be replaced due to wear, chipping, or cracking. Many people use this opportunity to replace their silver amalgam fillings with natural, tooth-colored composites. Their reasons may be aesthetic, or concern over the safety of amalgam fillings, which contain mercury. Composite fillings tend to wear out sooner than silver fillings in larger cavities, although they hold up as well in small cavities.

Gum Reshaping
Gum reshaping can improve a "gummy" smile in which teeth appear too short, or where the gum line appears uneven. A small amount of gum tissue -- and excess bone tissue if necessary -- is removed and contoured to expose more of the teeth. This procedure can be done to one tooth to even the gum line, or to several teeth to expose a natural, broad smile.

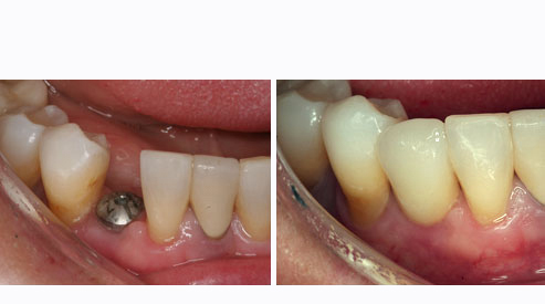
Implants
Millions of Americans suffer tooth loss, mostly due to tooth decay, gum disease, or injury. Dental implants -- replacement tooth roots which are made of titanium (shown at far left) -- provide a strong foundation for the attachment of permanent or removable artificial teeth (crowns). Instead of individual crowns, some patients may have attachments on their implant that support a removable denture.

Dentures
A denture is a removable replacement for missing teeth and surrounding tissue. There are two types of dentures -- complete and partial. Complete dentures are used when all the teeth are missing, while partial dentures are used when some of the natural teeth remain.

Bridges (fixed partial dentures)
A fixed (permanent) bridge replaces one or more teeth by placing crowns on the teeth either side of the gap, and attaching artificial teeth to them. The "bridge" is then cemented into place. A cantilever bridge is used when there are teeth on only one side of the open space. Maryland bonded bridges have porcelain teeth supported by a framework.

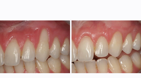
Gum Grafts
Tooth roots that are exposed due to gum recession may be sensitive to hot and cold foods or liquids, and they make teeth appear long. Gum recession can put you at risk of developing a cavity on the tooth root, and may lead to bone loss, eventually resulting in tooth loss. Soft tissue grafts, which move healthy gum tissue from one part of the mouth to another, can stop gum recession and bone loss and improve the esthetics of the gum line.

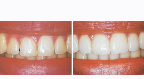
Smile Makeovers
A combination of dental techniques can be used to achieve a great smile. Here, porcelain veneers and crowns correct crooked teeth, an uneven gum line, and other chipped, worn, and discolored dentistry. While cosmetic dentists can make a dramatic difference in a person's smile and overall oral health, the work must be carefully planned -- though for many the elaborate and costly production is worth it in the end.